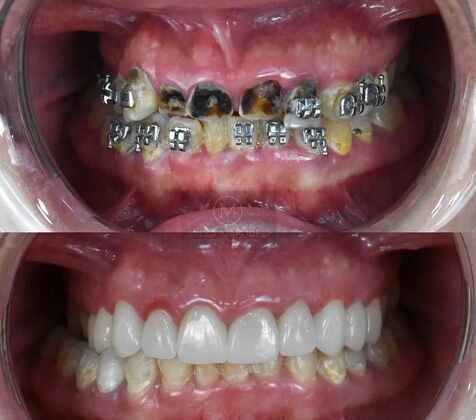
Welcome to the practice of Dra Nilza Márquez D.D.S. in Los Algodones, Mexico. Our team of dental professionals is dedicated to providing advanced treatment options to help our patients achieve beautiful and healthy smiles that last a lifetime. Dr. Márquez specializes in several treatments, including:
To request a consultation, please fill out our online form or give us a call at (928) 227-1050.
